3.b.ii.3 Adenocarcinoma In Situ Stratified-type (SMILE)
Click to enlarge images
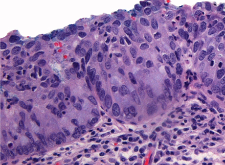
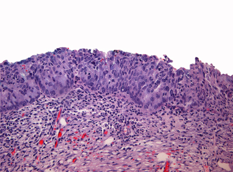
SMILEs are newly described glandular intraepithelial lesions of the uterine cervix that are presumed to arise from the neoplastic transformation of multipotential stem cells or reserve cells. SMILEs are characterized by a stratified dysplastic epithelium morphologically similar to high grade squamous intraepithelial lesions (HSIL). However, the nuclei of cells in SMILEs are distinctly more distant from one another than that of HSILs because the cells' cytoplasm contains abundant mucin. This mucin is either present in the form of distinct cytoplasmic vacuoles or diffuse cytoplasmic clearing. Mucin is highlighted by mucin stains but should be easily identified on routine H&E sections to render this diagnosis and differentiate it from a high grade squamous intraepithelial lesion (HSIL). The high proliferation index (ki67 immunostain) of SMILEs differentiates them from squamous metaplasia.
The natural history of SMILEs remains unknown, but they have been described concomitantly with invasive adenocarcinomas and adenosquamous carcinomas. They may therefore represent a precursor lesion for invasive adenosquamous carcinomas, an aggressive subtype of cervical carcinoma, and therefore SMILEs should be excised completely and patients should be followed-up carefully. Until more is known about SMILEs, some authors recommend reporting them as "adenocarcinoma in situ, stratified variant".
Contact Information
Gynecologic Pathology
Room E-436,
2075 Bayview Avenue,
Toronto, Ontario
M4N 3M5
Admin. Assistant/Clerical Supervisor
Lesley Nicholson
lesley.nicholson@
sunnybrook.ca
Tel: 416-480-4009





